Skończyła prawo z najlepszym wynikiem. Teraz choroba chce jej odebrać wszystko, co osiągnęła

Paulina Zaborowska zbiórka
Paulina Zaborowska zbiórka
Pani Paulina urodziła się z niezwykle rzadką chorobą genetyczną, ale z determinacją walczyła o swoje marzenia - chciała zostać pierwszą w rodzinie prawniczką. I udało się - skończyła prawo na UW z najwyższą średnią, zaczęła doktorat i pracę w sądzie. Niestety, pogarszający się stan zdrowia wszystko skomplikował. Kobieta nie zamierza się jednak poddać. Pomóc jej może każdy z nas.

Historię pani Pauliny poznaliśmy podczas wizyty busa #tematdlauwagi w Wieluniu. Masz temat, którym powinni zająć się dziennikarze Uwagi!? Zobacz, gdzie będzie bus >>>

Jeśli chcesz wesprzeć zbiórkę pani Pauliny, więcej informacji znajdziesz TUTAJ >>>

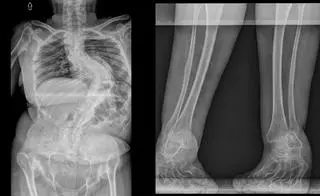
Dysplazja diastroficzna

Paulina Zaborowska urodziła się z bardzo rzadką wadą genetyczną - dysplazją diastroficzną, która została u niej zdiagnozowana dopiero, gdy była nastolatką. Na tę samą chorobę cierpi jej starsza siostra, która także długo musiała czekać na diagnozę.

- To jest tak rzadkie schorzenie, że w Stanach Zjednoczonych przyjmuje się, że występuje raz na pół miliona urodzeń. Wiele przypadków w ogóle nie jest rozpoznawanych. Często to są tak specyficzne objawy, że do postawienia prawidłowej diagnozy potrzeba wybitnych ortopedów. Właśnie dlatego tak długo musiałyśmy z siostrą czekać na prawidłowe rozpoznanie - tłumaczy 27-latka.

Jej choroba to jedna z najcięższych i najtrudniejszych do leczenia odmian karłowatości. Objawia się m.in. niskim wzrostem, skróceniem kończyn, nieprawidłowym ukształtowaniem stóp i dłoni, poważnymi deformacjami stawów oraz ich przedwczesnymi zwyrodnieniami. Z wiekiem deformacje stawów nasilają się i prowadzą do pogłębiającej się skoliozy kręgosłupa.

- To oznacza poważne problemy z poruszaniem się i stale nasilający się ból - mówi pani Paulina.

Paulina Zaborowska zbiórka
Paulina Zaborowska zbiórka

Niesamowite wyniki w nauce

Przez wiele lat, pomimo poważnej choroby, pani Paulina bardzo dobrze sobie radziła. Jak mówi, miała bardzo dobre wyniki w nauce.

- Pochodzę z małej wsi pod Opocznem. Moi rodzice są skromnymi ludźmi, którym bardzo zależało na tym, abyśmy z siostrą mogły się rozwijać i dostać wykształcenie adekwatne do naszych predyspozycji. Chcieli, żebym zaczęła edukację razem z rówieśnikami, ale już na samym początku pojawił się problem. Szkoły na początku lat dwutysięcznych nie były dostosowane do potrzeb osób z niepełnosprawnościami, więc nie było wiadomo, czy rozpocznę naukę planowo. Ostatecznie, dzięki przychylności lokalnych władz, udało się - opowiada młoda kobieta.

Pani Paulina mówi, że przez całą edukację miała najlepsze wyniki w klasie. Gdy przyszedł czas na wybór uczelni, postanowiła zdawać na prawo.

- Już jako dziecko marzyłam o studiach prawniczych. W naszej rodzinie nigdy nie było żadnego prawnika i wielu ludzi nie wierzyło w to, że będę w stanie zrealizować swoje plany, w szczególności biorąc pod uwagę moje ograniczenia związane z niepełnosprawnością. Te bariery zawsze istniały, ale nauczyłam się z nimi żyć - mówi 27-latka.

Pani Paulina bez problemu dostała się na Wydział Prawa i Administracji na Uniwersytecie Warszawskim i razem z siostrą przeprowadziła się do stolicy.

- Na początku wielkie miasto było przytłaczające i czasem bywało trudno, ale gdy z egzaminu na egzamin okazywało się, że jestem bardzo dobra w tym co robię, zdałam sobie sprawę, że przed laty dokonałam trafnego wyboru. Każdą sesję kończyłam z najlepszymi wynikami i motywowało mnie to do dalszej pracy - wspomina.  

27-latka podkreśla, że studia skończyła z najwyższą średnią spośród wszystkich 600 absolwentów.

„Musiałam zacząć rezygnować”

Pod odebraniu dyplomu pani Paulina chciała kontynuować karierę. Podeszła do egzaminu wstępnego na aplikację radcowską i, jak mówi, zdała go z najlepszym wynikiem w Warszawie, sposób kilkuset osób, które do niego podeszły. W tym samym czasie zaczęła również doktorat na UW i pracę w Sądzie Okręgowym w Warszawie, gdzie została asystentką sędziego.

- Niestety, w tym czasie zaczęłam odczuwać, że stan mojego zdrowia zaczyna mnie ograniczać. Musiałam zacząć rezygnować z kolejnych aktywności - mówi kobieta.

Pani Paulina musiała zrezygnować z aplikacji radcowskiej. Chciała jednak kontynuować pracę - zawodową i naukową.

- Niestety, ból był już tak duży, że nie byłam w stanie wysiedzieć w pracy kilku godzin. Zdałam sobie sprawę, że muszę zrezygnować również z zatrudnienia w sądzie. Sędzia, z którym współpracowałam, był bardzo rozczarowany, bo nasza współpraca układała się wyśmienicie - wspomina 27-latka.

Pani Paulina musiała także odłożyć na później pracę nad doktoratem, ponieważ, aby ją kontynuować, musiałaby na kilka miesięcy wyjechać na badania naukowe za granicę, co w jej stanie nie było możliwe.

„Nie po to walczyłam całe życie”

27-latka musiała zrezygnować z kariery w sądzie i znacznie ograniczyć pracę na uczelni.

- Obecnie kondycja moich stawów odpowiada osobie w bardzo podeszłym wieku. Mam stawy, jak ktoś kto ma około 90 lat - przyznaje.

W końcu sytuacja zmusiła 27-latkę do powrotu do rodzinnej wsi pod Opocznem, gdzie może liczyć na pomoc i wsparcie bliskich.

- Wcześniej udawało mi się jeszcze poruszać samodzielnie, teraz mogę chodzić tylko o kulach. Z uwagi na pogłębiającą się skoliozę, istnieje też ryzyko, że w przyszłości będę musiała jeździć na wózku inwalidzkim - mówi pani Paulina. I dodaje: - Jeśli okazałoby się, że operacja nie dojdzie do skutku, takie ryzyko rośnie.

- To, że musiałam ze wszystkiego zrezygnować i wrócić do domu rodzinnego, było dla mnie druzgocące. Nie po to całe życie walczyłam o samodzielność i spełnienie marzeń, żeby choroba miała mnie powstrzymać. Mam jeszcze wiele do udowodnienia sobie i innym - przyznaje pani Paulina.  

Namiastką dawnego życia są teraz dla niej zajęcia na uczelni, które prowadzi dla studentów Uniwersytetu Warszawskiego.

- Gdyby nie to, cały czas myślałabym tylko o tym, co straciłam i co jeszcze mogę stracić. Kontakt z innymi ludźmi i moją pasją, jaką jest prawo, dają mi siłę do walki - zaznacza kobieta.

Operacja w USA

Pani Paulina mówi, że jedyną nadzieją na życie bez bólu i powrót do samodzielności jest dla niej operacja.

27-latka przez ponad półtora roku była diagnozowana i konsultowana przez polskich lekarzy, którzy początkowo obiecywali jej operację. Po jakimś czasie stwierdzili jednak, że ryzyko jest zbyt duże i odmówili wykonania zabiegu.

Wtedy kobieta zaczęła szukać pomocy za granicą. Dwaj znani amerykańscy ortopedzi - doktor Paley i doktor Minas - zgodzili się przeprowadzić operację w Paley Orthopedic and Spine Institute na Florydzie.

Paulina Zaborowska zbiórka
Paulina Zaborowska zbiórka

- Leczenie ma dotyczyć kończyn dolnych. Lekarze przeprowadzą dwie operacje - oddzielnie każdej z nóg. Najpierw wykonają korekcję stóp, a następnie endoprotezoplastykę, czyli wymianę stawu kolanowego i stawu biodrowego, ponieważ oba są bardzo zniszczone - tłumaczy pani Paulina.

Amerykańscy lekarze wyznaczyli już termin operacji na 17 maja. Niestety, problemem jest opłacenie jej kosztów. Pomimo prób, 27-latce nie udało się przekonać polskich lekarzy do złożenia wniosku o refundację operacji z NFZ.

Aby doszło do operacji w Stanach, pani Paulina sama musi uzbierać ponad 1,5 mln złotych. Co więcej, czasu jest niewiele, bo operacja musi być opłacona do 17 kwietnia, a do pełnej kwoty wciąż brakuje prawie 400 tysięcy złotych.

Pani Paulina mówi, że nigdy nie prosiła o pomoc, ale teraz jest do tego zmuszona. Bez pomocy innych nie uda jej się samodzielnie sfinansować operacji.

W internecie utworzyła zbiórkę, na której można wesprzeć ją w walce. Zbiórkę znajdziesz TUTAJ >>>

27-latka jest przekonana, że się uda, a ona będzie mogła wrócić do realizacji swoich marzeń.

- Wiem, że teraz muszę zawalczyć o swoje zdrowie, aby potem móc zrobić jeszcze wiele dobrego, dla siebie i innych. Wszystkie swoje siły wkładam teraz w walkę, aby odzyskać swoje dawne życie. Bardzo mocno wierzę w to, że to się uda. Nie dopuszczam do siebie myśli, że może być inaczej – kończy pani Paulina.

podziel się: